This was going to be a triumphant article about a stellar idea, a struggle of problem solving, learning curves, dangerous lasers, and the final, exuberant splendid result in all its plasticky-golden glory. Yeah, well…
The idea!
…so the idea: to laser engrave a bunch of slices of my brain in transparent acrylic, stack them… it will be really cool!
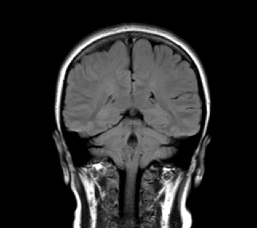
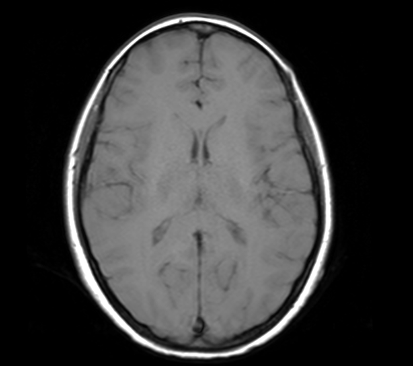
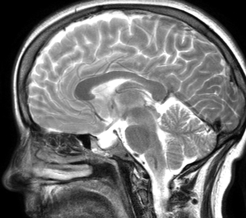
The data
I have an MRI scan of my brain because some doctors wanted a closer look at it. Either I am a raving lunatic, or because I have a remarkable brain. One – or both.
- axial
- saggital
- coronal

Anyway – 3D imaging are basically slices stacked on top of / next to each other. Instead of pixels, they are three-dimentional voxels. Not super important.
The point though, is that this is done in three axes: axial, saggital, coronal. So you can generate a 3D model that have three axes to average from, instead of one – meaning that the 3D model will not look like it was built from lego. As it would, if it only was one axis. I swear, i will 3D-print my brain when I get my head around the software.
This is a detour, none of this is relevant, just interesting facts i thought you should know.
Usually, these files are viewed in sequence, one axis at a time – i don’t think there is any medical reason for building models of an entire brain. I imagine that making 3D digital or physical models of various structures inside the brain, or tumors and such, would make sense.
The drawings
The original has about 30 saggital slices, which are too many: so i picked 13 of them, aligned them in layers in Illustrator, and drew roughly the brain structure of each slice. I calculated from the center – the slice where my nose are pretty much cut in two and added six slices before and after.
I decided to make every second slice a blank one, because i needed some depth, and the drawings are perhaps too detailed. I did a good deal of calculating to make sure i got this right. Since my acrylic was 3mm, and i had 13 slices with 12 blank slices in between, this gives me a 7.5 cm block. To make sure the brain then is drawn in a corresponding width to this, to avoid distortions, was pretty easy, but surprisingly difficult to explain to people. If you don’t get the proportion-thing, there is nothing i can do. Go use your brain.
The laser!
If you think I could just stick this file into the laser and Bob’s your uncle, you’d be so, so, sooo wrong. And if you think “The Laser Room” sounds dramatic and cool, it is … this. Two noisy lasers that looks like printers on steroids, and a noisy, rattling ventilation. It hot, cramped, smelly, noisy; and to get everything right takes forever. Look closely at the first photo below, and the little blue-green spray bottle is to put out fires. Fires created by the laser. You know. If it starts burning, press “pause”, lift the lid, and spray some water on the fire. Close the lid, and press “resume” to keep going. Safety first!
- the laser room
- Red Dot Switch
- Cultivated master!
Getting the files converted into the ancient laptop on top of the ventilation, really demands a lot of swearing, vector hassle, fiddling, more swearing, walking in and out of the laser room ‘cos there are no wifi, so all testfiles must go over Dropbox, or i could use a usb stick, but i really hate using random usb sticks, and besides, it drives me mad, and the files needs testing and testing, and cleaning, and sorting bezier curves, aarrrrgg …
I learned this:
- Always release compound paths
- Always set ALL strokes to same thickness AND black. And not kinda-sorta-black, but cmyk 0, 0, 0, 100 / #000000
- UNGROUP EVERYTHING. Then UNGROUP AGAIN
You have no idea how much hassle i had before grasped the importance of #3.
Settings and testing…
A laser cutter has basically two ways of dealing with a material: cut or engrave. If the settings on cut are too weak to get through the material, you have a third: draw. Engraving is basically the same principle, but it carves in a set resolution, and acts almost like a raster. You can get various depths depending on power and speed settings.
I have played with various materials of various thicknesses, and have learned that you always have to do a test. In reality: several tests.
- laser engraving
- laser cutting
- slices
I got cocky in this run, and changed my cut speed from 10 to 30, as it seemed it cut through with more enthusiasm than strictly needed. Boy, was i wrong… that set i ended up running – surprise! – three times to get it to cut through. Idiot. If it’s not broken, don’t fix it.
To watch the laser do its laser-y thing, is mesmerising.
Static electricity
Acrylics come with protective plastic on both sides (hence the green), and peeling this off creates a ridiculous amount of static electricity. It will attract any tiny piece of dust floating around. So i grounded a copper wire, attached some aluminum foil, and washed each slice in contact with this. You know; grounding your dishwashing with copper and aluminium does not seem tinfoil-hat, next stop: loony bin-ish at all!
The assembly
- gold drawer, bolt cutters, stack of slices
- stack of slices
- threaded and nut
I bought a threaded rod and some nuts.
- my beautiful cerebellum
- stacked
- depth
…and this is pretty much it… it is really hard to take good pictures of it –
I experimented with adding some leaf gold, and in a certain light, at a certain angle, it works. Kinda.
So… what is wrong with it? Too many things to mention, but it did not come out as i had hoped. The image of my brain in my brain was very different from the image i ended up with.
I know what i did wrong though, and though i am the queen of proof-of-concepts… highly unlikely that i will make another one or refine it. I have learned what i can from it. Ach well.
Next time, i cry. Next time my art will end up as i envisioned.
Yeah roight.
Update. Current experiment with leds.


























